Radiology

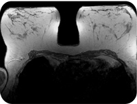
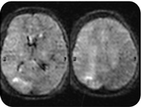
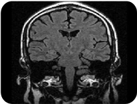
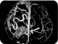
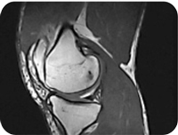
MRI

The Magnetic Resonance Imaging (MRI) scan is a procedure in the medical world used to provide a detailed picture of the organs and tissues, for head to toe examination. We provide Neuro , Ortho , Body Angio ,Cardiac, Breast, Oncology, Pediatric Patients with intercom & automatic & freely programmable voice command for breath hold examinations. The equipment makes use of radio waves and strong magnetic force to produce a detailed image of the organ and tissue of the body, In a most comfortable & smart Seimens 1.5T Machine We provide MRI in Lifecare Scan & Research Centre Durg / Bhilai at a very affordable cost.

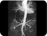
CT Scan

The computerized tomography, CT, produces a detailed image of the internal structure of the body by combining results from different x-rays. The CT scan provides the image of the internal structure of the body in 2- dimensional figure, but the images produced can be used to create 3-dimensional figures. We do provide denta scan & all special C.T. Angiography through the fastest scanner Seimens Bright speed 16 slice C.T. Machine Visit Lifecare Scan & Research for next gen CT Scan in Durg & Bhilai at affordable cost.

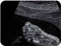
Sonography

Diagnosis is the 1st basic but the most important process. it decides the further treatment. Lifecare Scan & Research offers sonography through the GE VOLUSON E8 sonography machine is a premium women’s health 4d ultrasound machine in class technologies for sonography coupled with a specialist in the field to work on it. we offer high precision sonography in Durg /Bhilai at very affordable charges.

Digital Xray

High Quality x-ray which gives Enhanced images with the scope of digital transfer. Avail best in class X RAY Service with DR system in Lifecare Scan & Research Centre at Durg & Bhilai.

"WE ALSO PROVIDE E.C.G , EEG, ECHOCARDIOGRAPHY, AND ENDOSCOPY PROCEDURES"